
近期,江苏省中西医结合医院口腔科接诊了一位患者蔡女士,该患者身材瘦弱,她愁眉苦脸地介绍说,因年轻时不重视牙周病,没有去医院认真治疗,上牙渐渐脱落得就剩几颗了,下颌牙齿则全部掉光。由于经济条件受限,上牙在诊所全部做成烤瓷牙桥,到目前为止,除了有点龅牙外还没有其他不适。下颌牙齿刚开始装过活动假牙,但总是戴用不合适,进食时不是脱落就是压痛,所以没有坚持戴用。现在自己觉得下颌萎缩得厉害,美观也受到影响,看过好几家医院想进行半口假牙修复,可是医生看了以后都直摇头,说骨量太少太薄,无法修复,自己十分苦恼。由于十余年来都无法好好吃饭,蔡女士自嘲道“别人都跟随潮流嚷嚷着要减肥,我可是从来没有这个烦恼,而且每年都在瘦,看上去比同龄人要衰老很多呀!”
口腔科刘春华主任了解到蔡女士的情况,召集本科室种植团队的王婧婧副主任医师和傅振医师参与病例会诊。王婧婧主任是毕业于南京医科大学的口腔修复学硕士,口腔种植学博士,曾在省口腔医院正畸科进修一年,对于口腔保存齿科及种植美学修复有独到的理解和认识。傅振医师是口腔颌面外科硕士,曾在上海九院种植科进修半年。
刘主任指出,病人辗转来到我科,是对我们医生的信任,我们要迎难而上,争取在现有可用条件的基础上尽最大努力恢复病人的咀嚼功能,同时改善因下颌骨和咀嚼肌萎缩导致的衰老容貌。
王主任认为:患者上颌半口烤瓷桥从力学原理上说是不良修复体,且较为前突,理应拆除,但患者没有明显疼痛的主诉,牙齿及牙龈皆无不适感,CT片亦未见明显根尖炎症影像,可采用姑息疗法,暂时不拆除。但其上牙过于前凸,与过于萎缩的下颌骨在矢状位极不协调,增大了修复的难度,前牙区覆盖及咬合难以达到最佳。
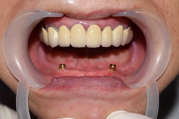
傅医生仔细阅读了患者的CT片,指出患者下颌骨在垂直向极度萎缩,与下颌神经管很靠近;牙槽骨水平向宽度很窄,若种宽径植体会暴露植体,若种窄径植体则植体本身在咬合力下易折裂。
蔡女士坚持只要有一线希望就不会放弃,她说自己会全力配合医生的治疗方案,也能理解相应的并发症及可能不太佳的修复效果。有了患者的充分信任,王主任和傅医生通力合作,先对患者凹凸不平的牙槽骨进行修整并切除过多增生的松软牙龈,根据口腔修复学原理,在CT指示下,在其下颌双侧尖牙区发现两个仅有的可用种植位点,拟采用目前国内外最为先进的种植修复方式,即种植体支持式Locator球帽固位的下颌半口义齿修复下颌牙列缺失。


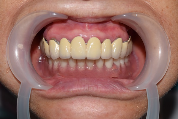
根据术前设计的治疗方案,通过牙槽嵴平整术、植体植入及形成良好的骨结合、二期牙龈手术,袖口形成,模型制取,二次印模,咬合记录,试牙、戴牙等一系列精细的程序,历时大半年多,蔡女士终于戴上了梦寐以求的义齿,无论是咬合、前牙覆盖、笑线及面容外观她都非常满意。她俏皮地说“没想到我还能等到自己有牙的一天,家人为了庆祝我能吃东西,专门请我大聚餐,我终于告别了吃肉糊的日子啦”。


蔡女士还专门告诉笔者,戴牙后一周,王主任主动打电话询问自己的感觉,并嘱咐新牙初戴都有个磨合期,若有不适要随时复诊调试。自己非常感动,不仅仅感动于省中西医口腔科医生们的精湛医术,更感动于他们的医者仁心。